Arthroplastie

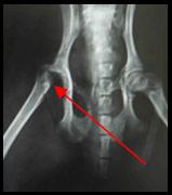
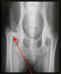
Fracture du col fémoral

Votre animal s’est fracturé l’os de la cuisse à l’endroit où celui-ci s’articule avec le bassin. Un plâtre n’a pu être mis en place pour stabiliser la fracture parce qu’il est impossible d’immobiliser la hanche. Nous avons donc dû retirer chirurgicalement le morceau de fémur qui était encore attaché à la hanche.

Heureusement, pour un petit animal tel que le vôtre, cette chirurgie offre un très bon pronostic. Ce sont, en fait, les muscles entourant l’articulation de la hanche qui stabiliseront le site de fracture et qui permettront à votre animal de marcher normalement. Plus vite il utilisera sa patte, plus vite les muscles de sa hanche se renforceront et plus vite la boiterie disparaîtra. En général, il faut compter environ 1 mois pour que cette guérison s’accomplisse.

 

Afin de favoriser la guérison de la plaie, nous vous conseillons de suivre les recommandations suivantes :

  • Gardez le collier élisabéthain en place jusqu’au retrait des agrafes chirurgicales ou des points de suture dans environ 14 jours. Pendant cette période, il sera très important, de vous assurer que la plaie reste propre et sèche (évitez les bains et baignades), et  de surveiller l’apparition de rougeurs, d’enflure ou d’écoulements.
  • Pour diminuer la douleur et contrôler l’inflammation, nous lui avons prescrit un anti-inflammatoire. Assurez-vous de suivre la posologie recommandée par votre vétérinaire.
  • Afin d’éviter qu’une infection n’envahisse le site chirurgical, nous lui avons prescrit un antibiotique. Assurez-vous de suivre la posologie recommandée par votre vétérinaire.
  • Il sera primordial de contrôler son poids. En effet, l’excès de poids sur ses articulations peut nuire à la guérison. S’il souffre d’embonpoint, nous pourrons lui instaurer une diète adaptée à ses besoins.
  • Ne vous inquiétez pas si votre animal ne fait pas de selles pendant quelques jours suivant la chirurgie. Ceci est fréquent suite à une anesthésie générale. S’il se met à forcer ou si plusieurs jours passent sans qu’il y ait production de selles, alors contactez-nous.

Afin de maximiser le développement d’une bonne masse musculaire, faites faire de la physiothérapie à votre animal après une période de repos d’environ 10 jours. Différents moyens peuvent être utilisés pour accomplir cet objectif. Notre équipe médicale possède une expertise en physiothérapie canine et de l'équipement à la fine pointe de la technologie. N'hésitez pas à en faire la demande à votre vétérinaire.  À la maison, vous pouvez commencer par lui faire des séries d’extensions et de flexions de la hanche 2 à 3 fois par jour. 

Vous devrez prendre un rendez-vous de contrôle (au moment désigné à la sortie de la clinique) afin de réévaluer la condition de votre animal pour que nous puissions nous assurer de sa bonne guérison. 

Si vous avez des questions ou des inquiétudes, vous pouvez nous rejoindre au 514-355-8322, notre équipe se fera un plaisir de vous informer. Bonne chance!

L’équipe de l'Hôpital Vétérinaire de l'Est inc.